Specialized in Dental Implants Dental Veneers ,full mouth rehabilitation center
Specialized in Dental Implants Dental Veneers ,full mouth rehabilitation center

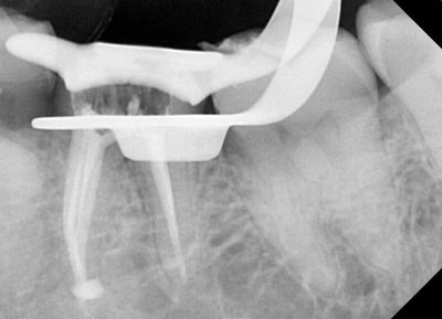
At Dental Strings, we understand the importance of preserving your natural teeth. Our comprehensive root canal therapy is designed to alleviate discomfort while saving your tooth from further damage, ensuring a healthy, pain-free smile.
Root canal therapy, also known as endodontic treatment, becomes necessary when the dental pulp inside the tooth becomes infected or inflamed due to deep decay, cracks, or trauma. This procedure involves removing the infected pulp, cleaning the inside of the tooth, and sealing it to prevent further infection.
Maintaining good oral hygiene and attending regular dental check-ups are crucial for the long-term success of your treated tooth. Brushing, flossing, and professional cleanings help ensure the health and longevity of your smile.
Experience the expertise and care of our dedicated team at Dental Strings -Cosmetic dentistry & Dental Implant clinic,Borivali west. Schedule a consultation to explore how our advanced root canal therapy can save your tooth and bring back your pain-free smile.
We love our customers, so feel free to visit during normal business hours.
DENTAL STRINGS, Shimpoli Road, Kastur Park, Borivali West, Mumbai, Maharashtra, India
Open today | 09:30 am – 08:30 pm |
We use cookies to analyze website traffic and optimize your website experience. By accepting our use of cookies, your data will be aggregated with all other user data.